

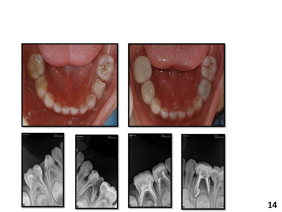
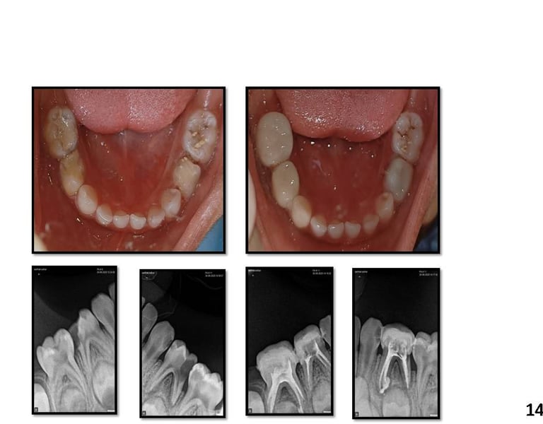
Cases




A new era of Pedocrown
World's most economic aesthetic Pedocrown, composite resin have unique property of water sorption because of which it appears more natural than any other crown.
Pedocrown is made up of high strength Composite Resin
This Pediatric Crowns are Prefabricated, Radiopaque that Replicate enamel
This crown is superior to other esthetic crown as it can be trimmed from all the directions
The weight of one Zirconia Crown is greater than 0.5 gram while this crown is less than 0.2 gram that is almost 1/3 in weight
Only crown that can be repaired using Composite Resin
Hole can be made to secure the crown to prevent aspiration or ingestion
Bracket or Buccal tube can be bonded directly with composite resin


Composition
Methacrylate
Photoinitiator
Inhibitor
Pigment
Nano ceramic filler (Nano Ceramic filler >50%)
Indications
After Pulp therapy
Bruxism
Grossly Carious Teeth
Multisurface Caries
Developmental Defects
Fractured Teeth


Advantages
Morphology similar to natural teeth
Bond chemically with composite resin containing cements
Made up of Biocompatible Material
Bracket, Buccal Tube can be Bonded directly on the crown with composite resin
The crown can be repaired with composite resin
Crown can be trimmed from all the directions

Our Products
Single Crown Order
Pedocrown Upper Primary Molar Kit
Pedocrown Upper 2nd Primary Molar Crown Kit
Pedocrown Lower 1st Primary Molar Crown Kit
Pedocrown Lower 2nd Primary Molar Crown Kit
Pedocrown Lower Primary Molar Kit
Size D2 - D7
Total 12 Crowns
Size E2 - E7
Total 12 Crowns
Size D2 - D7
Total 12 Crowns
Size E2 - E7
Total 12 Crowns
Size D2 - D7, E2 - E7
Total 24 Crowns
Size D2 - D7, E2 - E7
Total 24 Crowns
Pedocrown Primary Molar Kit
Size D2 - D7, E2 - E7 upper & lower
Total 48 Crowns
Pedocrown Upper 1st Primary Molar Crown Kit
Any one crown
Pedocrown Starter Kit (12crowns kit)
Offer Prize Till 01/02/2025
12crowns kit
* Crown sizes are similar to steel crown
Video showing how to place Pedocrown


PedoCrown Across the Globe
Now supplying PedoCrown pediatric crowns in multiple countries worldwide









